PennHIP® verfahren
Die PennHIP® Methode ist eine relativ neue röntgenologische Untersuchung auf Hüftgelenksdysplasie (HD). Gegenüber der in Europa üblichen FCI (Fédération Cynologique Internationale)-Methode erlaubt das PennHIP®-Verfahren eine frühere Erkennung der HD und ermöglicht eine differenzierte Beurteilung der Hüftgelenke.
Die Hüftgelenksdysplasie ist die häufigste erblich bedingte Gelenkserkrankung des Hundes. Anders als viele andere erblich bedingte Erkrankungen wird die HD nicht nur von einem, sondern mehreren veränderten Genen verursacht – die HD ist also polygenetischen Ursprungs.
Leider konnten die beteiligten Gene bisher noch nicht ausreichend identifiziert werden, so dass Gentests für gezielte Verpaarungen von Zuchthunden noch nicht zur Verfügung stehen.
Neben der erblichen Veranlagung haben Umweltfaktoren wie Ernährung und Training des Hundes Einfluss auf die Ausprägung und die Schwere der HD. Aufgrund der Vielzahl verschiedener Faktoren, die das Krankheitsbild beeinflussen, sprechen Experten bei der HD von einer multifaktoriellen Krankheit.
Da es bislang keine Gentests gibt, ist man für die Zuchtwertschätzung hinsichtlich der HD auf die Beurteilung des Erscheinungsbildes (Phänotyp) des Hundes angewiesen. Für viele Rassen schreibt die FCI eine standardisierte Röntgenuntersuchung zur Einschätzung der Hüftgesundheit vor.
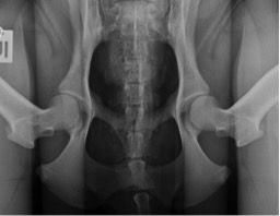
Bei der FCI-Methode werden Hunde je nach Rasse im Alter von zwölf bis 24 Monaten untersucht. Dabei werden die Patienten in Narkose mit gestreckten Gliedmaßen geröntgt, so dass die Oberschenkelknochen parallel zueinander liegen. Diese relativ unnatürliche Haltung ist die Grundlage zur Beurteilung des Grades der HD auf den Röntgenaufnahmen. Der Tierarzt beurteilt das Aussehen von Oberschenkelkopf und Hüftpfanne und deren Passform zueinander. Darüber hinaus misst er den sogenannten Norberg-Winkel, der bei einem HD-freien Hund 105 Grad und mehr beträgt. Auf diese Weise lassen sich fünf Schweregrade von A (HD-frei) bis E (schwere HD) der Hüftgelenksdysplasie unterscheiden.
Dass die Hunde für die Untersuchung nach der FCI-Methode bereits weitgehend ausgewachsen sein müssen, hat viele Nachteile. Für die weitere Zuchtplanung kommt das Urteil der HD-Untersuchung über einen vielversprechenden Hund sehr spät, oft zu spät. Darüber hinaus lassen sich bei der Beurteilung der Hüften nach der FCI-Methode erbliche Faktoren nicht von Umweltfaktoren unterscheiden. Schließlich ist für bestimmte therapeutische Maßnahmen eine zuverlässige Früherkennung wünschenswert.
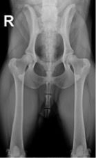
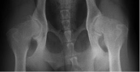
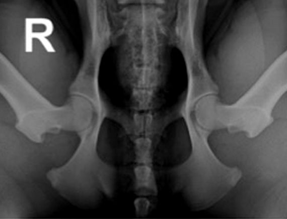
Für das PennHIP® Verfahren werden drei Röntgenaufnahmen angefertigt:


Bei der Distraktionsaufnahme wird ein sogenannter Distraktor zwischen die Beine des Tieres gelegt. Wenn der Untersucher die Beine des Hundes gegen den Distraktor drückt, wird der Oberschenkelkopf aus der Hüftpfanne „herausgezogen“. Je weiter das möglich ist, desto lockerer ist die Hüfte und desto größer die Wahrscheinlichkeit, dass ein Hund an einer HD leiden wird. Das Maß für die Lockerheit des Hüftgelenks ist dabei der Distraktionsindex (DI).

links: komprimiertes Hüftgelenk
rechts: distrahiertes Hüftgelenk

Berechnung des Distraktionsindex
(Quelle: AIS PennHIP®)

Der Distraktionsindex wird berechnet, indem bei der Distraktionsaufnahme die Entfernung zwischen dem Mittelpunkt des Oberschenkelkopfes und dem Mittelpunkt Hüftpfanne gemessen und diese Strecke durch den Radius des Oberschenkelkopfes geteilt wird. Dabei kann der Index von 0 bis 1,0 betragen. Bis zu einem Distraktionsindex von 0,3 ist die Wahrscheinlichkeit, dass sich das Krankheitsbild einer HD entwickelt, äußerst gering. Bei Rassen wie z.B. dem Barsoi oder dem Greyhound ist ein solcher DI üblich. Bei diesen Rassen entwickelt sich im Verlaufe des Lebens im Regelfall nicht das Krankheitsbild einer HD.
Bei höheren Werten muss hingegen mit einer HD und entsprechenden Gelenksveränderungen (Arthrosen) gerechnet werden.


Für welche Hunde bietet sich ein PennHIP® Röntgen an?
- Für Familienhunde im Rahmen einer medizinischen Vorsorgeuntersuchung:
Der Tierhalter möchte die Veranlagung seines Hundes für die Ausbildung einer Osteoarthrose als Folge einer HD abschätzen lassen. Dies kann besonders deshalb wichtig sein, weil durch frühzeitige Einwirkung und Veränderung der Umweltfaktoren (insbesondere der Ernährung) die Erkrankungssymptome um bis zu drei Jahre hinausgezögert werden können.
- Für Zuchthunde, da mit Hilfe des PennHIP®-Verfahrens eine Frühkennung von HD bereits bei Junghunden ab einem Alter von 16 Wochen möglich ist:
Dies erlaubt den Züchtern einerseits frühzeitig hüftgesunde Zuchthunde auszuwählen, und andererseits hüftkranke Familienhunde so frühzeitig zu behandeln, dass das Krankheitsbild der HD vermieden werden kann. Außerordentlich wichtig ist es allerdings, dass die behandelten Hunde garantiert nie für die Zucht verwendet werden, denn sie können die Gene natürlich nach wie vor weiter vererben. - Für sportlich ambitionierte Tierhalter oder für Tierhalter, deren Hunde eine sehr intensive und kostspielige Ausbildung erhalten sollen (wie z. B. Blindenhunde, Jagdhunde, Sporthunde): Hier bietet sich eine frühzeitige Untersuchung an (ab 16 Wochen) an.
Selbstverständlich können auch ältere Hunde nach der PennHIP®-Methode untersucht werden. In den USA ist die PennHIP®-Methode bereits weit verbreitet.
Wie wird die PennHIP®-Untersuchung durchgeführt?
Wie für die bekannte HD-Untersuchung nach FCI-Standard ist auch für PennHIP®-Untersuchungen eine Narkose notwendig.
Die Untersuchung selbst ist nicht schmerzhaft und führt zu keinerlei Folgeschäden.
Zusammenfassung PENNHIP®
- Bis zu 80% der Hunde, die mit dem in Europa üblichen FCI -konformen offiziellen HD-Röntgens als HD-frei eingestuft werden, weisen tatsächlich einen zu hohen Distraktionsindex und damit mittel- bis hochgradige HD auf.
- Eine frühe Untersuchung der Hüftgelenke ab 16 Wochen mit dem PennHIP®-Verfahren ermöglicht es hingegen, eine angeborene HD schon frühzeitig und mit hoher Wahrscheinlichkeit zu erkennen.
- Je eher der Tierhalter weiß, ob sein Hund eine Hüftgelenksdysplasie hat oder nicht, desto früher können die Folgen wie Schmerz und Arthrose vermieden oder behandelt werden.